O nouă premieră naţională în medicină, efectuată de doctorii din cadrul IMSP Spitalul Clinic Republican. Aceştia au realizat o operație de complexitate majoră și unicală în domeniul chirurgiei şi anume: au înlăturat o parte de ficat cu tumoare, care invada într-o venă de diametru mare cu un sector al acestei vene și au înlocuit-o cu o proteză venoasă. Actul medical a fost efectuat cu succes pe data de 17 octombrie, 2016 de către echipa medicală formată din: prof. univer., doctorul Adrian Hotineanu, chirurgul, şeful Secţiei chirurgie septică şi picior diabetic, Grigore Ivancov, chirurgii Sergiu Burgoci şi Sârghi Vitalie, anesteziştii Dumitru Talpă şi Rotari Vasile.
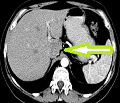
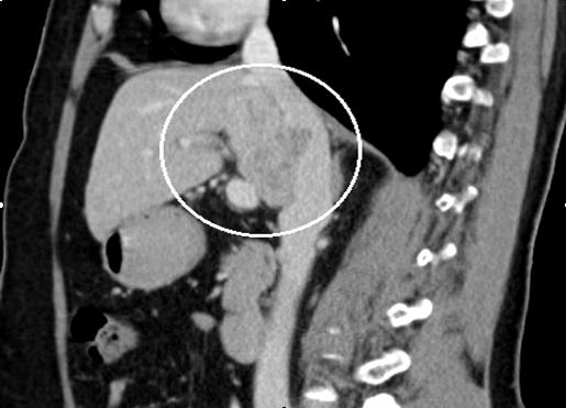
Pacienta a fost o femeie de 50 de ani. Aceasta a fost diagnosticată cu o tumoare masivă hepatică, preponderent S I, cu invazia venei cave inferioare porțiune retrohepatică și prezența simptomelor pozitive caracteristice sindromului de ocluzie a venei cave inferioare. La internare, femeia acuza dureri moderate în regiunea lombară, edeme și pastozitate a membrelor inferioare. Diagnosticul preoperator a fost stabilit pe baza investigatii CT cu contrastare in regim angiografic. Până acum așa amplasare a tumorii a fost considerată inoperabilă. Potrivit prof. univer., dr. Adrian Hotineanu, până acum acești pacienți erau refuzați pentru tratament radical și primeau doar îngrijiri paliative fără efect, care duceau inevitabil la deces. Medicul a menţionat că “toate acestea pot fi depășite doar prin tratament radical, prin rezecția hepatică cu tumoare și rezecția venei magistrale. Numai această metodă este potențial curativă și poate oferi vindecare”.
Astfel, pentru a salva viaţa pacientei, doctorii au rezecat o parte de ficat, purtător de tumoare, au mobilizat şi lanțuit porțiunea retrohepatică a venei cave inferioare. Ulterior s-a rezecat în bloc cu tumoare, care s-a înlocuit cu proteză vasculară. Medicii spun că perioada postoperatorie decurge favorabil. La moment pacienta se simte bine şi se pregatește pentru externare.
În acest context, medicul chirurg Sergiu Burgoci a menţionat că “rezecția hepatică combinată cu rezecția venei cave și protezarea ei cu grefă este o intervenție chirurgicală extrem de sofisticată și necesită disponibilitatea unor tehnologii, cum ar fi izolare vasculară totală, conservare hipotermică cu Celcior sau alte substanțe, aparataj de reinfuzie sangvină etc. Utilizarea acestor tehnologii asigură rezecabilitatea tumorilor inițial nerezecabile și supraviețuirea pacienților inițial incurabili”.
Totodată, Adrian Hotineanu a subliniat faptul că fezabilitatea de o astfel de abordare este în prezent dictată de unele succese și introducerea în practica clinică a unor noi agenți chimioterapeutici și metodelor de administrare selectivă. În general, comportamentul de reconstituiri vasculare în practica oncologică este îmbunătățirea calității vietii acestor pacienți, considerați anterior incurabili.







