Una din cele mai dificile variante de icter obstructiv rămâne a fi icterul cauzat de colangiocarcinomul perihilar. Diagnosticarea tardivă și accesul chirurgucal tradițional anevoios spre această zonă anatomică crează probleme pentru pregătirea preoperatorie a pacienților.
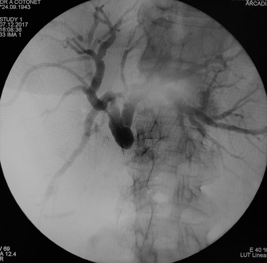
Creşterea siguranţei şi curabilităţii în chirurgia hepatică extensivă a impus dezvoltarea de tehnici, care să asigure funcţionalitatea hepatică a ficatului restant – drenajul biliar preoperatoriu. Scopul drenajului biliar preoperatoriu este de a îmbunătăţi funcţia hepatică şi reduce morbiditatea şi mortalitatea după chirurgie radicală cu hepatectomie majoră, adică rezecţia a mai mult de trei segmente hepatice. Practica arată că rezecţiile hepatice la pacienţii cu icter obstructiv complet şi colangită sunt asociate cu complicaţii severe, dintre care sunt de amintit sângerări intraoperatorii, abcese subfrenice datorate fistulelor biliare şi insuficienţă hepatică. Rolul drenajul percutanat este, pe lângă acela de a obţine o evaluare a extensiei intraductale a carcinomului, cel de a scădea nivelul bilirubinei şi de a permite hipertrofia ficatului dacă se realizează embolizarea venei porte.
Astfel, medicii cabinetului de endochirurgie Cotoneț Alic și Bodrug Roman realizează cu succes acest tip de intervenții deja în mai multe cazuri. Utilajul modern permite cu înaltă precizie puncția ghidată sonografic a căilor biliare urmată la aceeași ședință de drenarea arborelui biliar sub control radiologic.








